Tibial Stress Fractures

 Tibial stress fractures are a common cause of hind limb lameness affecting racehorses in training.  In general, stress fractures are the result of a mis-match between microscopic bone damage sustained during routine training and the beneficial physiological adaptation of bone to training. When micro-damage outweighs adaptation, the result can be a stress fracture.

Stress fractures vary in severity with lameness ranging from subtle to severe.  Thankfully only a very small percentage manifest as an overt break in the bone. Most of the stress fractures we deal with are in intact bone, and as such, with early detection and careful management these cases recover well and carry a good prognosis for return to normal athleticism.  Tibial stress fractures usually occur in young horses (2 and 3 year olds) that have progressed well with training and have just started doing faster exercise.

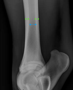
This image is of a normal tibia seen from the side of the horse. The structure of the long bone is well defined, with the denser cortical bone to the outside (appearing whiter) shown by the green lines, and less dense medullary bone on the inside (appearing greyer) shown by the blue line.

In the image below, there is evidence of remodeling of the medullary bone (circled) at a location where tibial stress fractures are commonly found.  The boundary between the cortical and medullary bone is blurred, and there is a patch of medullary bone that appears whiter (denser).

The image below demonstrates a further bony change associated with tibial stress fractures. There is an abnormal contour to the plantar (rear) aspect of the tibia (arrow). This represents a bony bridge like structure called a callus that provides support across the damaged bone and is often only visible on x-rays a few weeks after the horse sustained the injury.

Early detection plays a critical role in effective management of tibial stress fractures. With racehorses in training we recommend routine weekly examination of the horse so that its gait can be monitored regularly, allowing for early detection of lameness. In addition x-rays or bone scans can be very useful in the early detection of stress fractures.

Typically a horse diagnosed with a tibial stress fracture will be stable rested until sound and then commence a controlled rehabilitation program, usually over a period of twelve weeks. The prognosis for return to racing is very good.

Previous
Previous

Equine Corneal Ulcer Client Information Sheet

Next
Next

Carpal Tunnel/Canal - The Sharp Bony Blade